2025年12月,溶瘤病毒疗法领域传来重大喜讯。CG Oncology公司公布了其研发的溶瘤病毒药物Cretostimogene(CG0070)的两项关键临床试验数据,为非肌层浸润性膀胱癌(NMIBC)患者带来了新的希望。
免疫管家 2026-01-30
2024年2月16日,美国食品药品监督管理局(FDA)批准了一款名为肿瘤浸润淋巴细胞疗法(TIL疗法)用于治疗既往接受过免疫疗法或靶向治疗的不可切除或转移性黑色素瘤成年患者。这款TIL细胞疗法是首个获批用于实体瘤的细胞疗法。
免疫管家 2026-01-29
2007年,Chuck Martinez在体检中被诊断出肺癌。手术之后,为了寻求更全面的诊疗方案,他来到了久负盛名的MD安德森癌症中心。在这里的检查中,医生发现了一个此前未被注意到的、位于胸部的肿大淋巴结,这改变了他后续的治疗方向。
免疫管家 2026-01-28
作为一名从未接触过医学的普通人在2007年被诊断出肺癌前,Chuck Martinez对质子治疗一无所知。但当他得知胸腔内淋巴结肿大需要治疗,且这个淋巴结紧贴心脏时,MD安德森的医生推荐他尝试质子治疗。如今,十多年过去,他不仅癌症未复发,更完成了22场马拉松。这段经历,为我们揭开了质子治疗的一扇窗。
免疫管家 2026-01-28
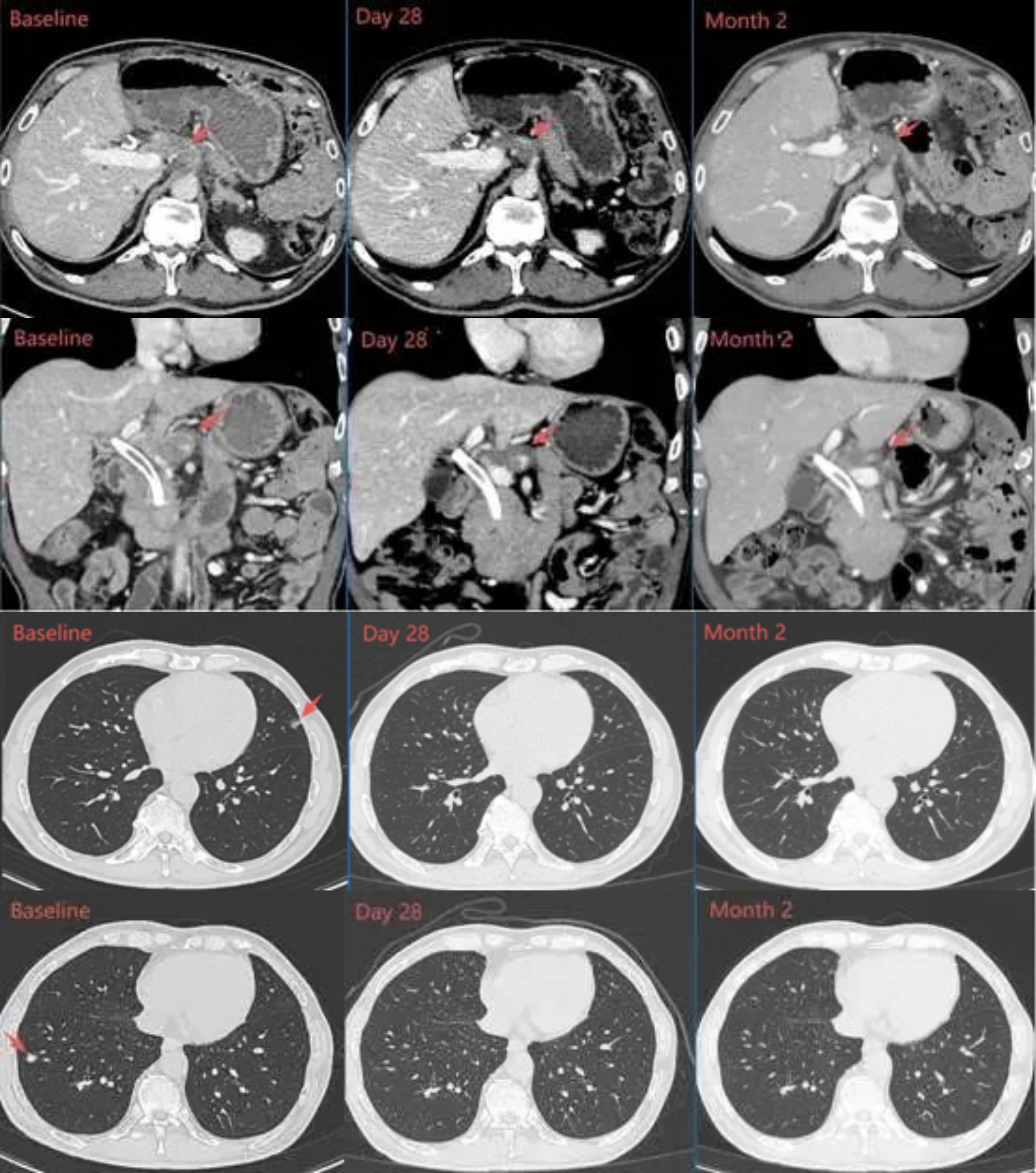
74岁的胰腺癌患者在经历20多次化疗后,肿瘤仍持续进展。当他几乎耗尽所有治疗选择时,一项名为TCR-T的新兴免疫细胞疗法带来了转机。 单次细胞回输28天后,复查结果显示:患者肝脏上的三个靶病灶明显缩小,肿瘤标志物CA19-9水平从758U/ml降至78U/ml,降幅近90%,且治疗安全性良好。
免疫管家 2026-01-26
对于许多晚期实体瘤患者来说,在看到CAR-T细胞疗法有效缓解血液系统肿瘤患者的病情时,需要新疗法的心变得更加迫切。2024年,首款用于实体肿瘤的TIL疗法终于获美国食品药品监督管理局(FDA)批准上市,成为近年来最具潜力的实体瘤治疗技术之一。
免疫管家 2026-01-23
2026年1月20日,Moderna公布其个体化新抗原疫苗mRNA-4157(intismeran autogene)联合PD-1抑制剂帕博利珠单抗,用于高危黑色素瘤患者术后辅助治疗,在五年随访中展现出持续且显著的临床获益。与单用帕博利珠单抗相比,该组合疗法将患者的复发或死亡风险大幅降低了49%。
免疫管家 2026-01-22
近日,ImmunityBio公布了一种现成的同种异体CD19嵌合抗原受体自然杀伤细胞疗法(CAR-NK)的QUILT-106临床研究(NCT06334991)的更新数据:数据显示持续完全缓解,缓解持续时间已延长至15个月且仍在持续,至今观察到100%的疾病控制。
免疫管家 2026-01-20
近日,《柳叶刀》发表了Savolitinib(赛沃替尼)联合osimertinib(奥希替尼)与化疗用于EGFR 突变阳性MET 扩增的非小细胞肺癌(SACHI)患者的3期SACHI试验(NCT05015608)中期分析结果。
免疫管家 2026-01-19
质子治疗是一种放射治疗方式,能够精确治疗肿瘤,同时对周围健康组织的辐射暴露极少。质子治疗作为肿瘤治疗中最先进的放射治疗方式,具有精度高、副作用小、杀伤力强三大优势。对于某些癌症,它允许提供更高剂量的辐射,从而改善疾病控制和预后。质子治疗对儿童癌症患者尤其有益,因为它通过定向辐射,帮助儿童患者在癌症中存活并保持更好的生活...
免疫管家 2026-01-19

京ICP备2024050367号 | 互联网药品信息服务资格证书:(京)-非经营性-2024-0007
Copyright ©
康和源(北京)健康科技有限公司 版权所有 https://www.myimm.net