2026年1月29日,国家药品监督管理局药品审评中心公示,恒瑞医药申请的HRS-4642注射液拟纳入突破性治疗品种,用于携带KRAS G12D突变的晚期或转移性胰腺癌的一线治疗。
免疫管家 2026-02-04
1月29日,国家药品监督管理局药品审评中心(CDE)显示:恒瑞医药申请的HRS-4642注射液拟纳入突破性治疗,用于联合吉西他滨和紫杉醇(白蛋白结合型)用于携带KRAS G12D突变的晚期或转移性胰腺癌的一线治疗。
免疫管家 2026-01-30
NK细胞疗法癌症治疗领域日益受到关注。人体免疫系统本就能识别并清除异常细胞,包括癌细胞。NK细胞作为固有免疫的核心力量,扮演着免疫系统的“快速反应部队”角色。 与需要特定抗原激活的T细胞不同,NK细胞能够迅速识别并攻击任何“看起来不正常”的细胞,包括癌细胞和病毒感染的细胞,无需提前训练或识别。
免疫管家 2026-01-30
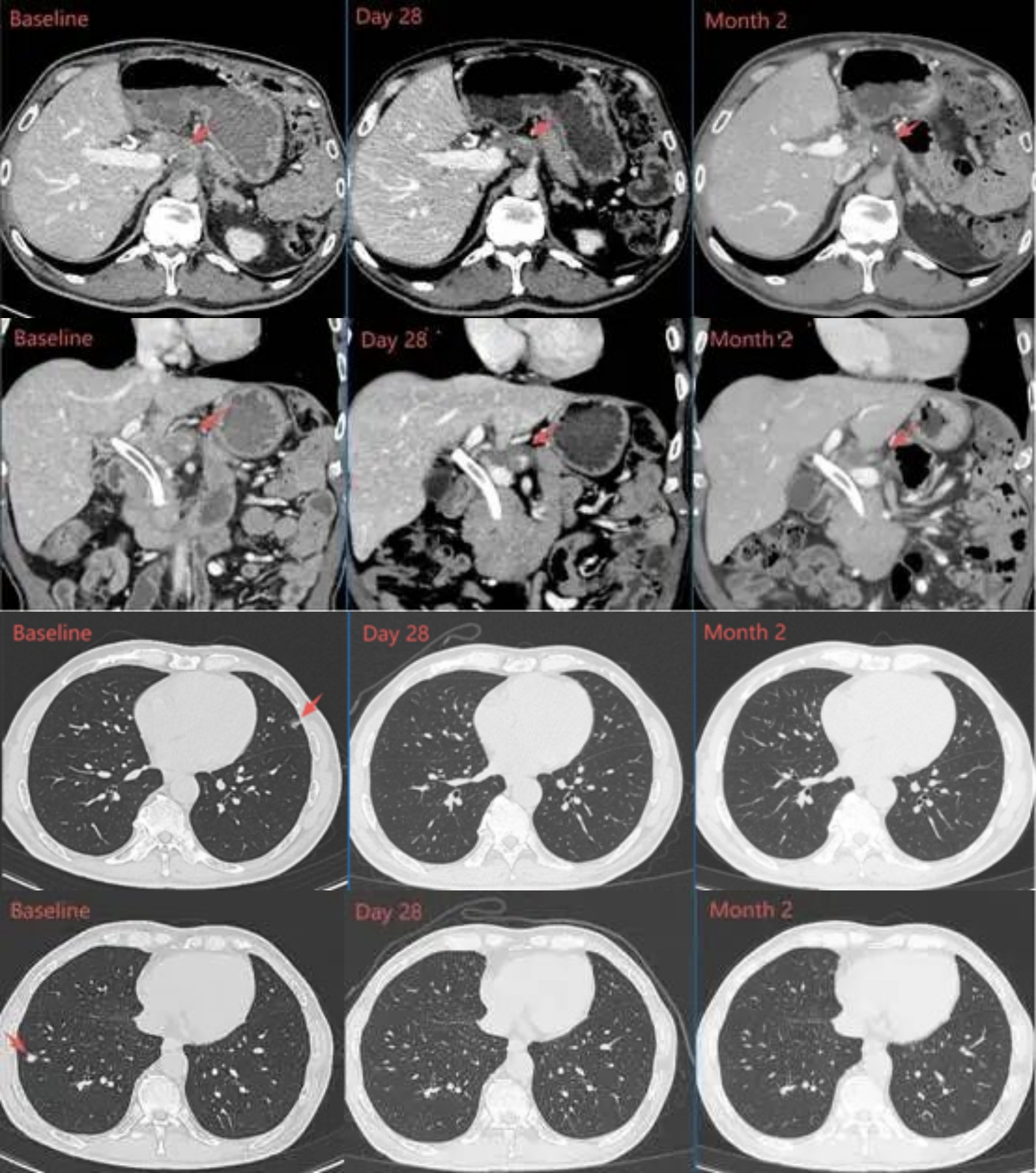
74岁的胰腺癌患者在经历20多次化疗后,肿瘤仍持续进展。当他几乎耗尽所有治疗选择时,一项名为TCR-T的新兴免疫细胞疗法带来了转机。 单次细胞回输28天后,复查结果显示:患者肝脏上的三个靶病灶明显缩小,肿瘤标志物CA19-9水平从758U/ml降至78U/ml,降幅近90%,且治疗安全性良好。
免疫管家 2026-01-26
近日,由石药集团研发的盐酸伊立替康脂质体注射液(多恩益®)针对一线胰腺癌患者的临床研究结果以研究论文(Article)形式发表在国际著名权威期刊《Nature Communications》。
免疫管家 2026-01-23
对于许多晚期实体瘤患者来说,在看到CAR-T细胞疗法有效缓解血液系统肿瘤患者的病情时,需要新疗法的心变得更加迫切。2024年,首款用于实体肿瘤的TIL疗法终于获美国食品药品监督管理局(FDA)批准上市,成为近年来最具潜力的实体瘤治疗技术之一。
免疫管家 2026-01-23
2026年1月20日,Moderna公布其个体化新抗原疫苗mRNA-4157(intismeran autogene)联合PD-1抑制剂帕博利珠单抗,用于高危黑色素瘤患者术后辅助治疗,在五年随访中展现出持续且显著的临床获益。与单用帕博利珠单抗相比,该组合疗法将患者的复发或死亡风险大幅降低了49%。
免疫管家 2026-01-22
自然杀手(NK)细胞是先天免疫系统的基础组成部分,NK细胞起源于骨髓中的淋巴样干细胞,广泛分布于骨髓、外周血、肝、脾、肺和淋巴结等组织,在免疫监测和肿瘤根除中发挥着关键作用。T细胞不同,NK细胞无需事先抗原致敏,使其能够通过细胞毒性机制和免疫调节快速识别并消灭恶性细胞。
免疫管家 2026-01-19
癌症疫苗是一种免疫疗法,旨在帮助我们的免疫系统战胜癌症。传统癌症治疗如手术、化疗和放疗,这些方法在杀死癌细胞的同时也会损伤健康细胞,导致患者免疫力下降,生活质量大幅降低。更为棘手的是,许多患者在治疗后仍面临复发和转移的风险。 与这些传统手段不同,治疗性疫苗通过训练免疫系统特异性靶向肿瘤相关抗原,实现对癌细胞的精准...
免疫管家 2026-01-16
近日,正大天晴安罗替尼联合贝莫苏拜单抗联合AG方案一线治疗转移性胰腺癌(mPC)的最新进展在美国临床肿瘤学会胃肠道肿瘤研讨会(ASCO GI)公布。
免疫管家 2026-01-15

京ICP备2024050367号 | 互联网药品信息服务资格证书:(京)-非经营性-2024-0007
Copyright ©
康和源(北京)健康科技有限公司 版权所有 https://www.myimm.net